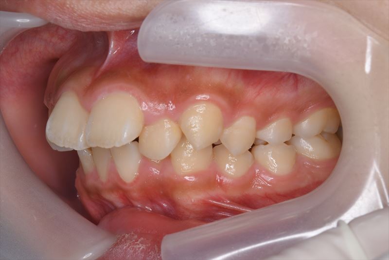
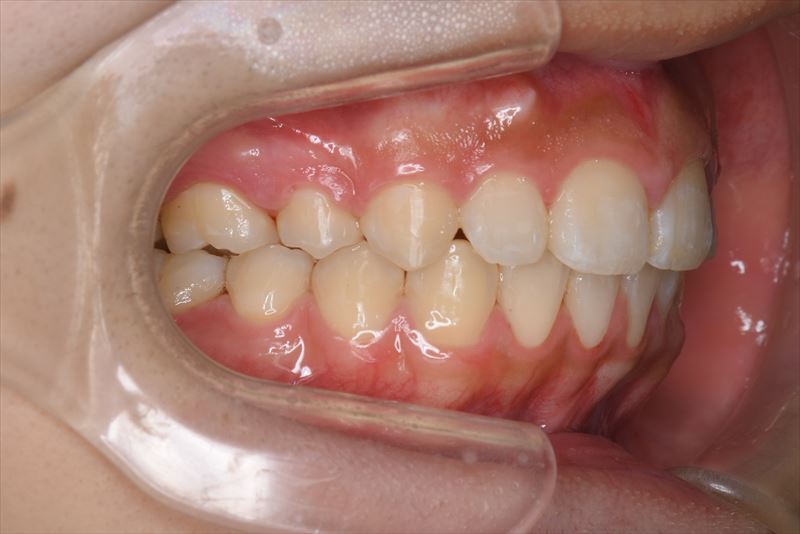
治療前
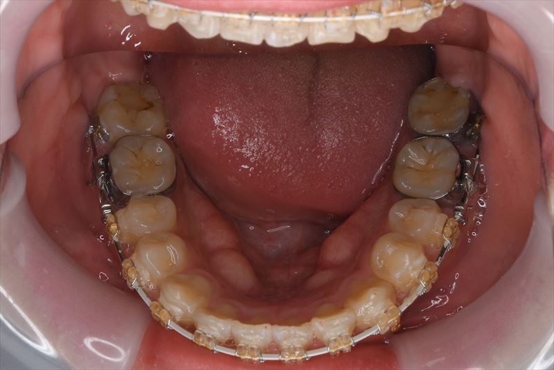
治療中
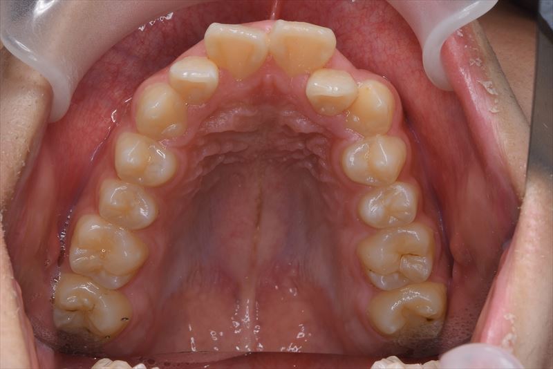
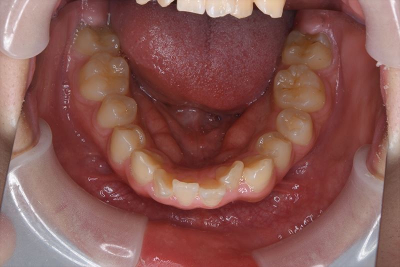
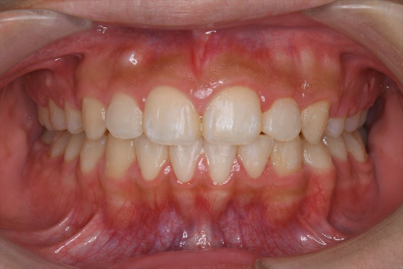
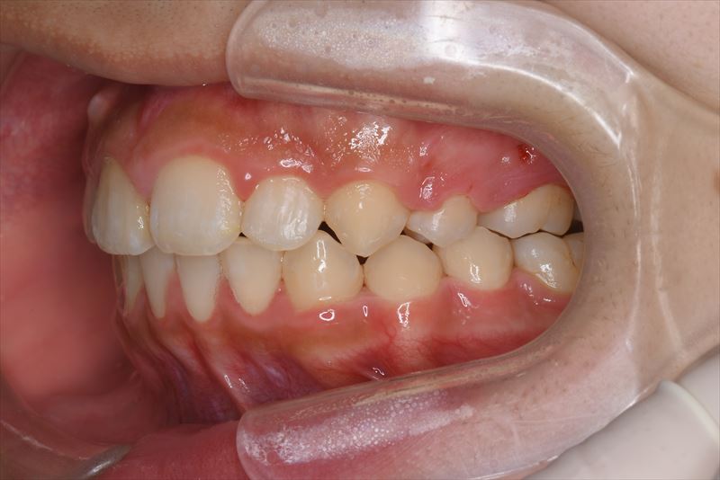
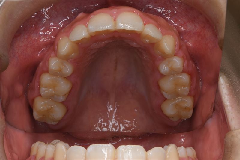
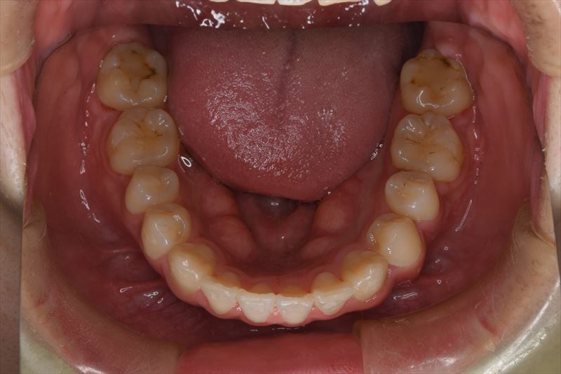
治療後
患者様情報
- 主な症状
- 前歯が出ている。
- 初診時の年齢
- 17歳
- 性別
- 男性
治療情報
- 症状
- 叢生、過大なオーバージェット
- 治療に用いた主な装置
- マルチブラケット装置、アンカースクリュー
- 抜歯/非抜歯部位
- 上顎両側4番、上顎両側8番、下顎両側8番
- リスクと副作用
- 歯根吸収、歯肉退縮
- 治療期間・治療回数
- 2年5か月、36回
- 治療費用
- 1,087,400円(税込)
- コメント
- 骨格的な上顎前突と過大なオーバージェットを認めたため、上顎両側4番を抜歯して上顎前歯をアンカースクリューを用いて牽引しました。良好な前歯の関係と緊密な咬合を獲得しました。



















