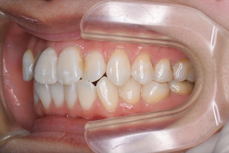
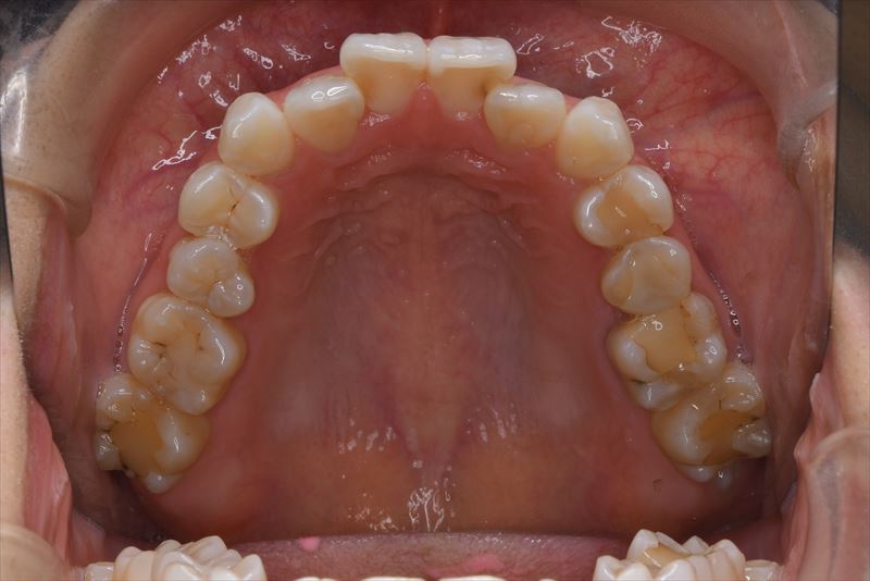
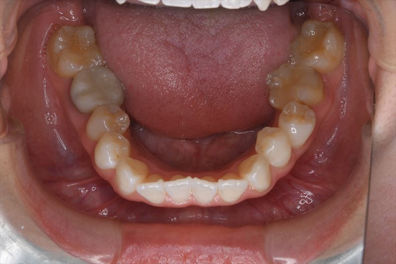
治療前
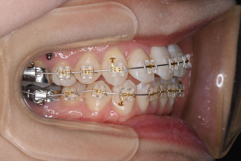
治療中
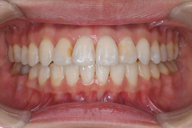
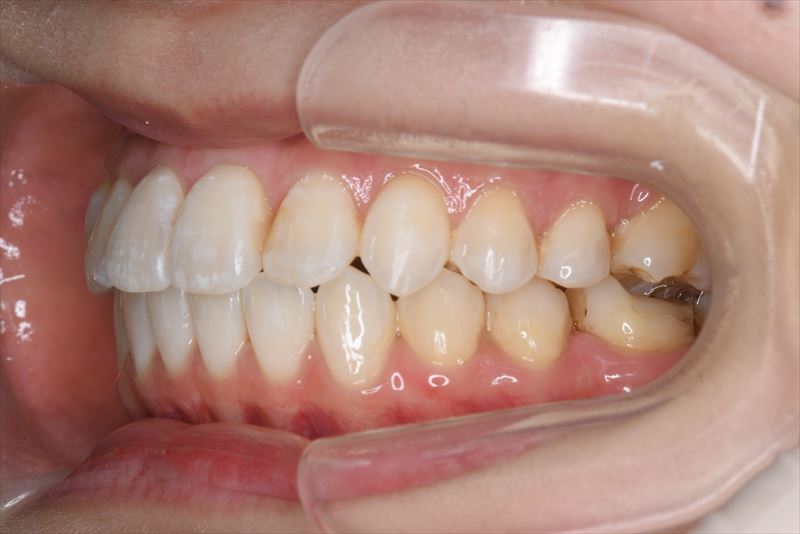
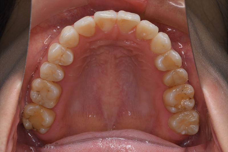
治療後
患者様情報
- 主な症状
- 上の歯並びが気になる
- 初診時の年齢
- 20歳
- 性別
- 女性
治療情報
- 症状
- 両側2番クロスバイト、叢生、上顎左側6番根尖病巣
- 治療に用いた主な装置
- マルチブラケット装置、アンカースクリュー
- 抜歯/非抜歯部位
- 上顎左側6番抜歯
- リスクと副作用
- 歯根吸収、歯肉退縮
- 治療期間・治療回数
- 1年3か月、21回
- 治療費用
- 987,300円(税込)
- コメント
- 上顎左側6番は失活歯で根尖病巣を認めたため抜歯し、上顎左側8番を代わりに使用することとしました。アンカースクリューを使用することにより、健康な歯を抜歯せず臼歯の遠心移動で叢生の改善できました。治療期間が短かく良好な咬合を獲得できました。



















