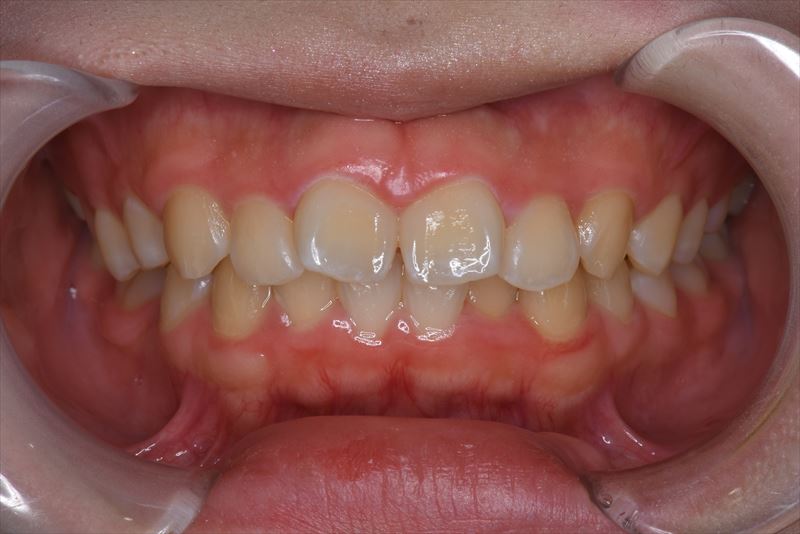
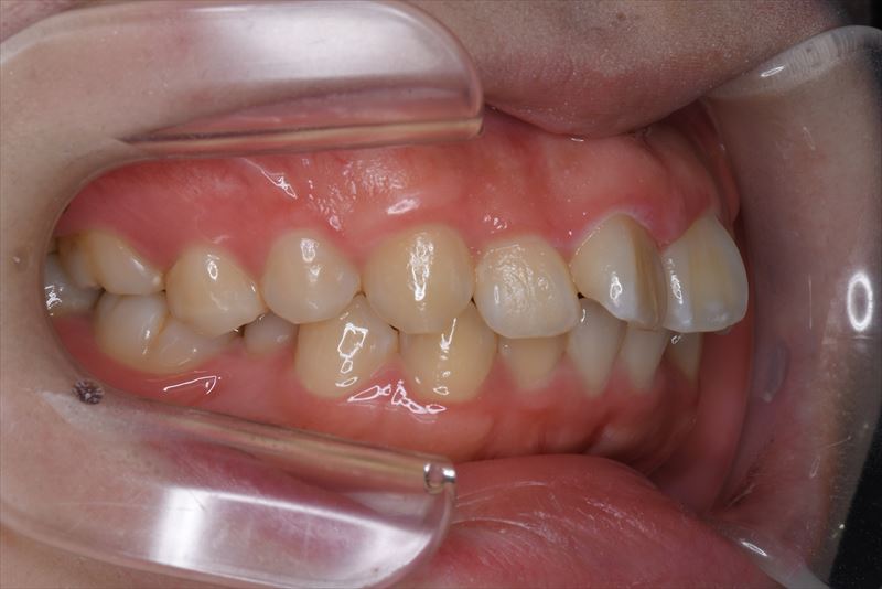
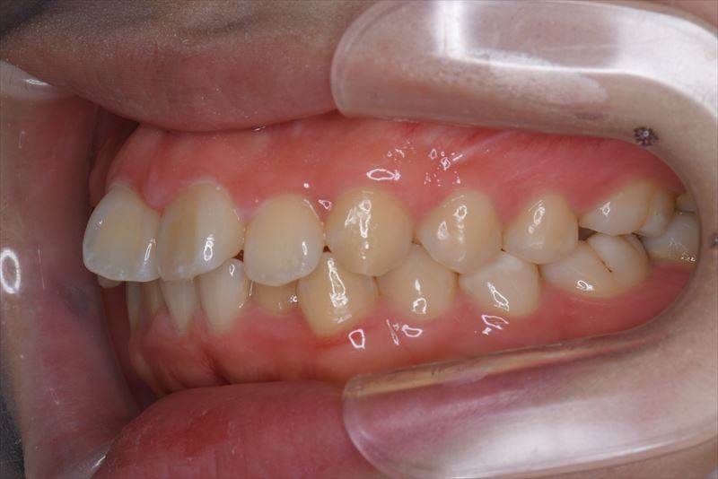
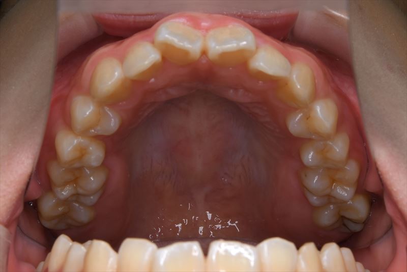
治療前
治療中
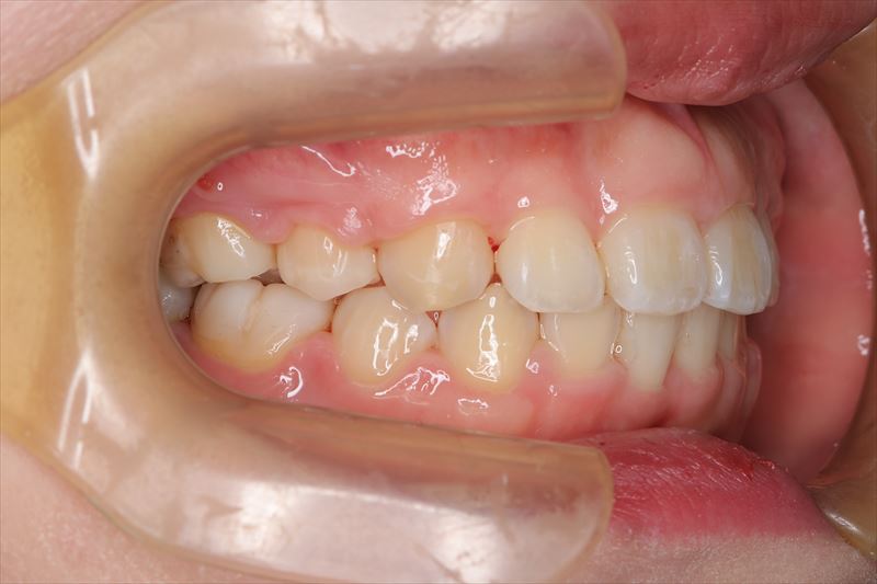
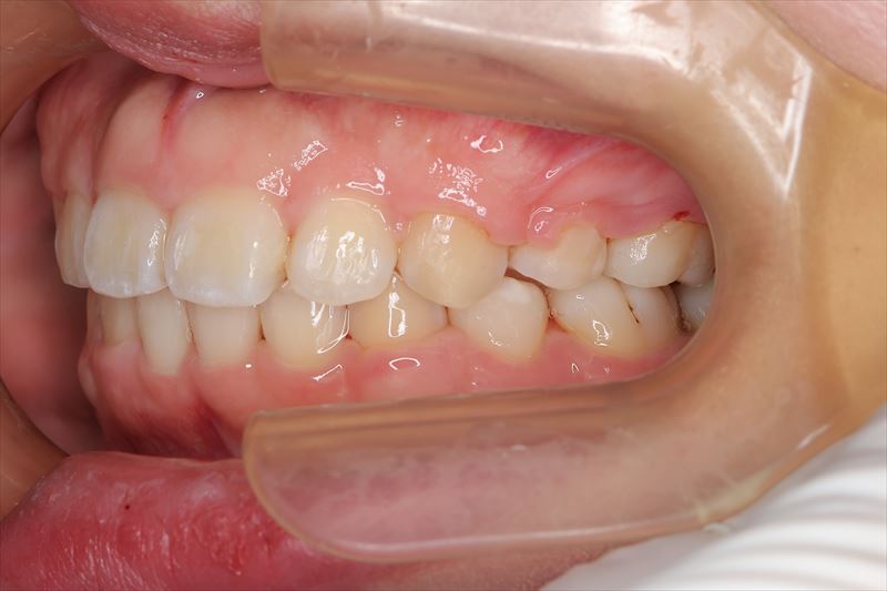
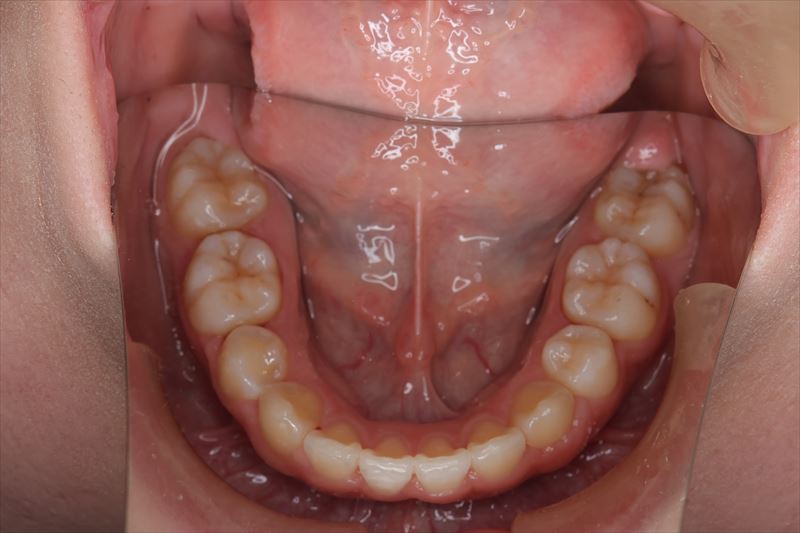
治療後
患者様情報
- 主な症状
- 口元が出ているのが気になる。
- 初診時の年齢
- 20歳
- 性別
- 女性
治療情報
- 症状
- 叢生、口唇の突出
- 治療に用いた主な装置
- マルチブラケット装置、アンカースクリュー
- 抜歯/非抜歯部位
- 上顎両側4番、下顎右側5番、下顎左側4番抜歯
- リスクと副作用
- 歯根吸収、歯肉退縮
- 治療期間・治療回数
- 3年6か月、41回
- 治療費用
- 1,141,800円(税込)
- コメント
- 口唇の突出を気にされて来院いたしました。Eラインより口唇の突出、オトガイ部の緊張を認めました。アンカースクリューを用いて前歯の牽引を行うことによって良好な側貌となりました。治療途中で遠方に引っ越されたため来院が困難となり治療期間が延びてしまいましたが、患者様のご協力もあり無事に治療を終えることができました。





















