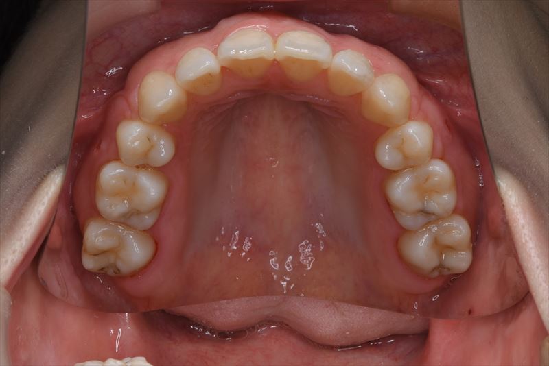
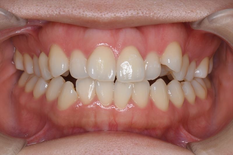
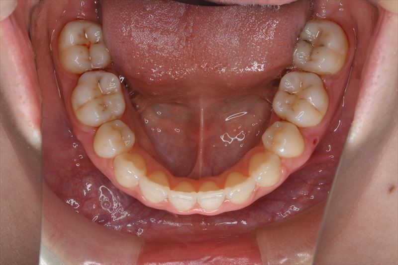
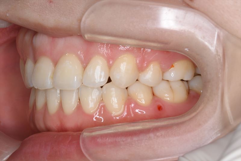
治療前

治療中

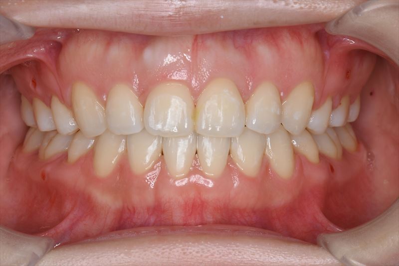
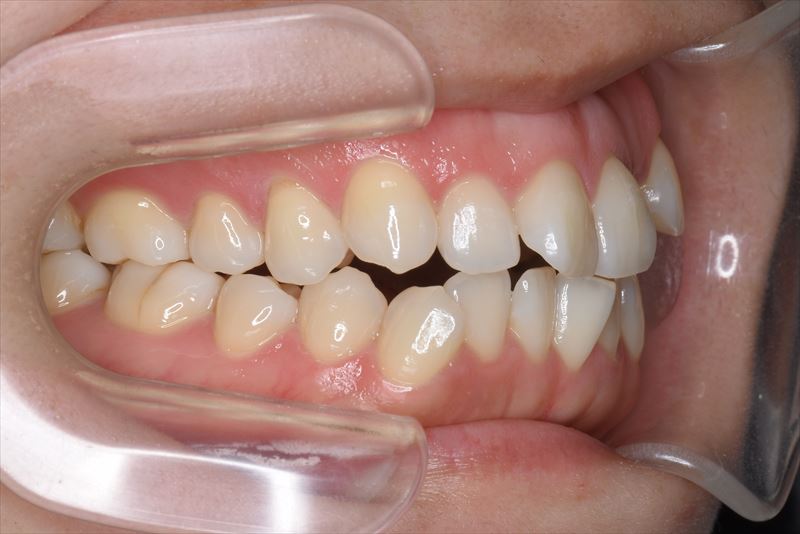
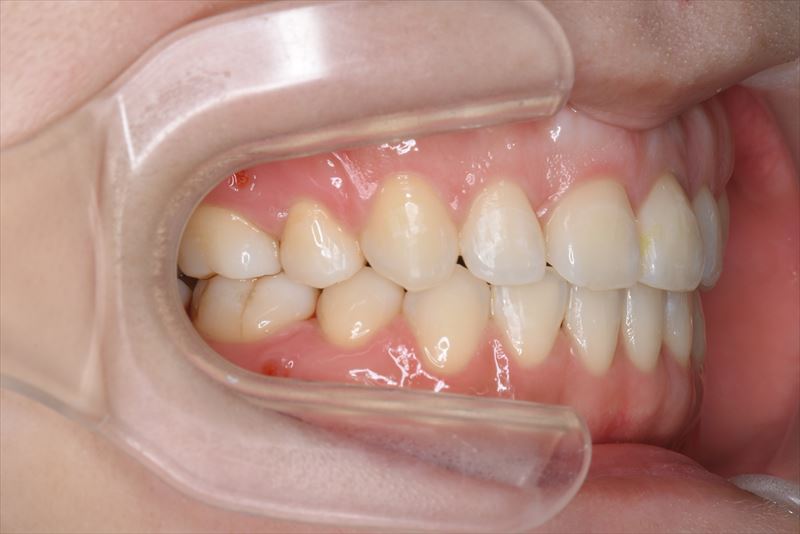
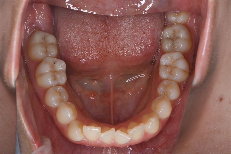
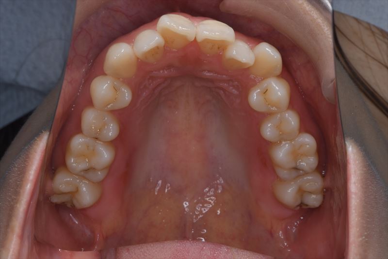
治療後

患者様情報

主な症状
前歯で咬めない。歯が重なっている。
初診時の年齢
25歳
性別
女性

治療情報

症状
叢生、口唇の突出
治療に用いた主な装置
マルチブラケット装置、アンカースクリュー
抜歯/非抜歯部位
上顎両側4番抜歯、下顎両側4番抜歯、下顎両側8番抜歯
リスクと副作用
歯根吸収、歯肉退縮
治療期間・治療回数
2年6か月、32回
治療費用
1,053,800円(税込)
コメント
臼歯のみの咬合、口唇の閉鎖が難しい状況でした。抜歯を行い前歯を牽引することで、良好な側貌と緊密な咬合を獲得できました。