泉中央駅から徒歩3分の矯正専門歯科
ホーム
初めての方へ
診療案内
料金案内
症例紹介
矯正治療の流れ
ホーム
初めての方へ
診療案内
ブラケット矯正
マウスピース型矯正
子どもの歯科矯正
ホワイトニング
マウスガード製作
矯正治療の流れ
よくある質問
料金案内
症例紹介
アクセス
医院案内
お知らせ
コラム
お問合わせ
ご予約は下記よりお願いいたします
WEB予約
初診の方はこちら
WEB予約
再来院の方はこちら
ご相談・お問合わせはこちら
LINEで問合わせる
電話でのお問合わせ
022-346-0520
平日 11:00-18:00 / 土日 10:00-16:00
水曜・祝日休診
MENU
CLOSE
症例紹介
Case
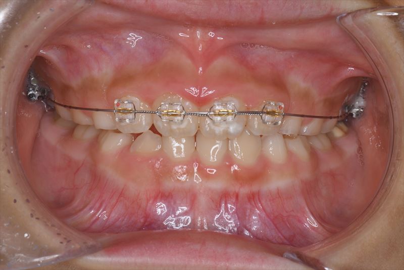
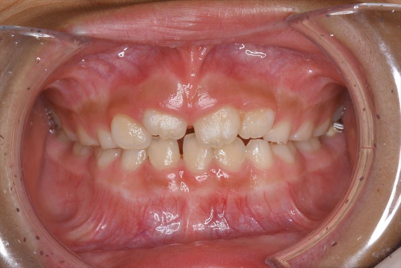
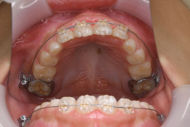
正中離開
子どもの矯正
正中離開、下顎先天性欠損
治療前
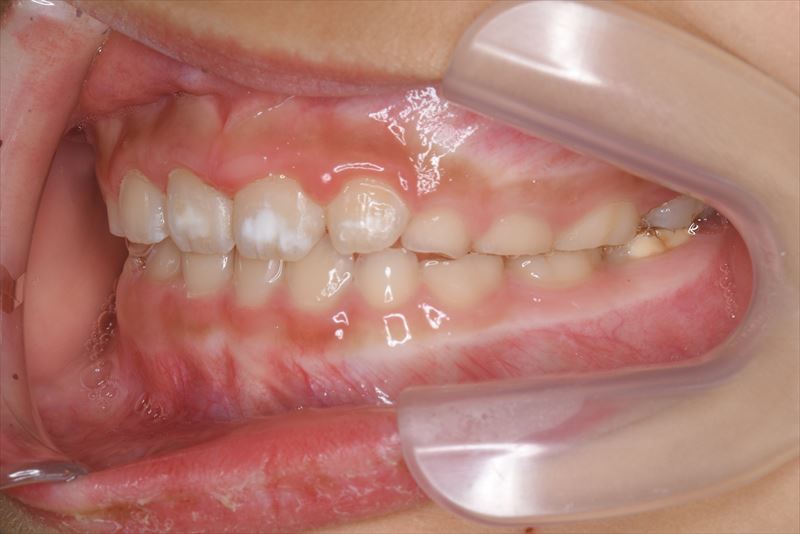
治療中
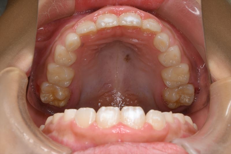
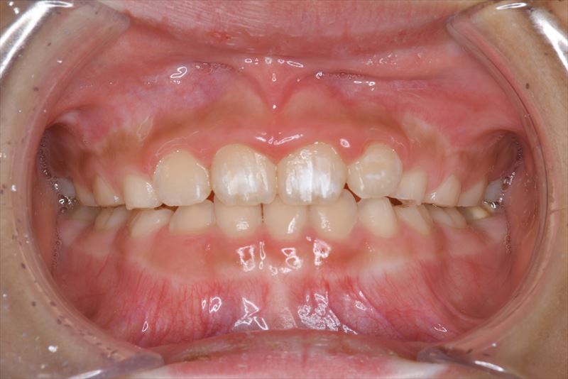
治療後
患者様情報
主な症状
前歯の並びが気になる。
初診時の年齢
8歳
性別
女性
治療情報
症状
正中離開、下顎先天性欠損
治療に用いた主な装置
ヘッドギア、マルチブラケット装置(前歯のみ)
抜歯/非抜歯部位
非抜歯
リスクと副作用
歯根吸収、歯肉退縮
治療期間・治療回数
6か月、5回
治療費用
434,800円(税込)
コメント
前歯の排列と上顎臼歯の遠心移動を行いました。今後も永久歯の萌出に合わせて治療を進めていきます。
前の症例
次の症例
ほかの症例も見る
前歯部反対咬合
反対咬合(クロスバイト)、叢生、ディープバイト
叢生、前歯反対咬合
CLOSE
2026
5
MAY
日
月
火
水
木
金
土
1
2
3
4
5
6
7
8
9
10
11
12
13
14
15
16
17
18
19
20
21
22
23
24
25
26
27
28
29
30
31
休診日
午前休診
午後休診
臨時休診
2026
6
JUNE
日
月
火
水
木
金
土
1
2
3
4
5
6
7
8
9
10
11
12
13
14
15
16
17
18
19
20
21
22
23
24
25
26
27
28
29
30
休診日
午前休診
午後休診
臨時休診
2026
7
JULY
日
月
火
水
木
金
土
1
2
3
4
5
6
7
8
9
10
11
12
13
14
15
16
17
18
19
20
21
22
23
24
25
26
27
28
29
30
31
休診日
午前休診
午後休診
臨時休診
2026
8
AUGUST
日
月
火
水
木
金
土
1
2
3
4
5
6
7
8
9
10
11
12
13
14
15
16
17
18
19
20
21
22
23
24
25
26
27
28
29
30
31
休診日
午前休診
午後休診
臨時休診
2026
9
SEPTEMBER
日
月
火
水
木
金
土
1
2
3
4
5
6
7
8
9
10
11
12
13
14
15
16
17
18
19
20
21
22
23
24
25
26
27
28
29
30
休診日
午前休診
午後休診
臨時休診
2026
10
OCTOBER
日
月
火
水
木
金
土
1
2
3
4
5
6
7
8
9
10
11
12
13
14
15
16
17
18
19
20
21
22
23
24
25
26
27
28
29
30
31
休診日
午前休診
午後休診
臨時休診
2026
11
NOVEMBER
日
月
火
水
木
金
土
1
2
3
4
5
6
7
8
9
10
11
12
13
14
15
16
17
18
19
20
21
22
23
24
25
26
27
28
29
30
休診日
午前休診
午後休診
臨時休診
2026
12
DECEMBER
日
月
火
水
木
金
土
1
2
3
4
5
6
7
8
9
10
11
12
13
14
15
16
17
18
19
20
21
22
23
24
25
26
27
28
29
30
31
休診日
午前休診
午後休診
臨時休診
2027
1
JANUARY
日
月
火
水
木
金
土
1
2
3
4
5
6
7
8
9
10
11
12
13
14
15
16
17
18
19
20
21
22
23
24
25
26
27
28
29
30
31
休診日
午前休診
午後休診
臨時休診
2027
2
FEBRUARY
日
月
火
水
木
金
土
1
2
3
4
5
6
7
8
9
10
11
12
13
14
15
16
17
18
19
20
21
22
23
24
25
26
27
28
休診日
午前休診
午後休診
臨時休診
2027
3
MARCH
日
月
火
水
木
金
土
1
2
3
4
5
6
7
8
9
10
11
12
13
14
15
16
17
18
19
20
21
22
23
24
25
26
27
28
29
30
31
休診日
午前休診
午後休診
臨時休診
2027
4
APRIL
日
月
火
水
木
金
土
1
2
3
4
5
6
7
8
9
10
11
12
13
14
15
16
17
18
19
20
21
22
23
24
25
26
27
28
29
30
休診日
午前休診
午後休診
臨時休診