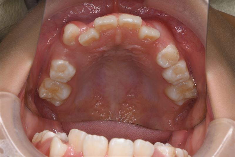
治療前
治療中
治療後
患者様情報
- 主な症状
- 前歯の並びが気になる。
- 初診時の年齢
- 8歳
- 性別
- 女性
治療情報
- 症状
- 両側2番クロスバイト、叢生
- 治療に用いた主な装置
- マルチブラケット装置(前歯のみ)
- 抜歯/非抜歯部位
- 非抜歯
- リスクと副作用
- 歯根吸収
- 治療期間・治療回数
- 8か月、調整8回
- 治療費用
- 419,100円
- コメント
- 両側2番にクロスバイトを認めた。排列にスペースは十分と判断し、前歯部にブラケットを装着し排列した。今後は骨格的にはⅢ級傾向であるため、必要に応じて装置を追加する予定である。



















