治療前

治療中

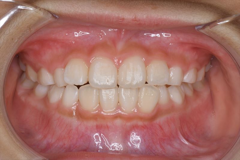
治療後

患者様情報

主な症状
上の歯並びが気になる
初診時の年齢
7歳
性別
女性

治療情報

症状
叢生、前歯反対咬合
治療に用いた主な装置
リンガルアーチ、マルチブラケット装置(前歯のみ)
抜歯/非抜歯部位
非抜歯
リスクと副作用
装置の不快感、歯根吸収
治療期間・治療回数
6か月、調整回数7回
治療費用
448,000円
コメント
前歯部反対咬合を認めました。骨格的Ⅰ級であり、前歯の干渉により下顎の前方への移動が原因で反対咬合を呈しています。上顎の舌側から前歯を唇側傾斜させ排列しました。今後も経過を追って、必要に応じて装置を追加します。