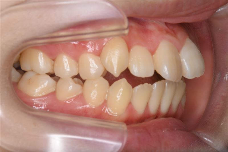
治療前
治療中
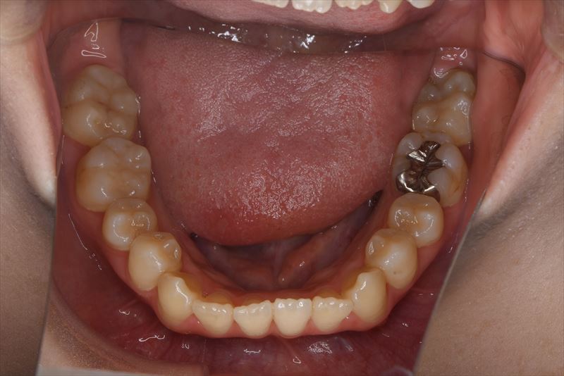
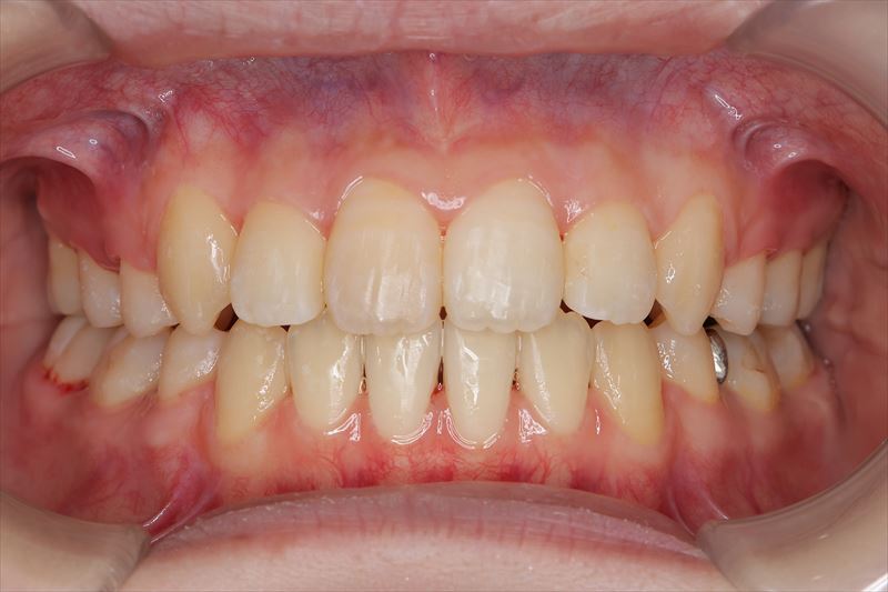
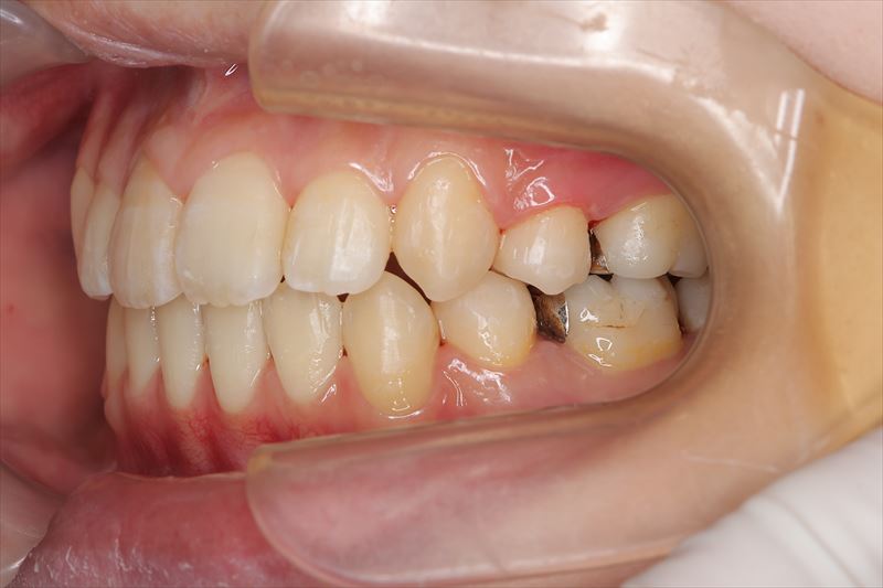
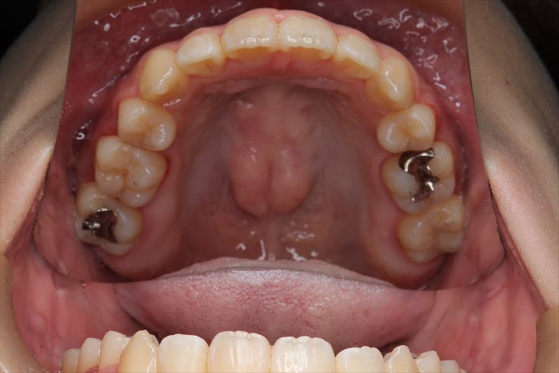
治療後
患者様情報
- 主な症状
- 前歯が出ている。前歯で咬めない。
- 初診時の年齢
- 24歳
- 性別
- 女性
治療情報
- 症状
- 叢生、オープンバイト、口唇の突出。
- 治療に用いた主な装置
- マルチブラケット装置、アンカースクリュー、TPA
- 抜歯/非抜歯部位
- 上顎両側4番、下顎両側4番
- リスクと副作用
- 歯根吸収、歯肉退縮
- 治療期間・治療回数
- 3年0か月、42回
- 治療費用
- 1,083,500円(税込)
- コメント
- 口唇の突出、オープンバイトを認めたため、抜歯を行い治療を行いました。上顎臼歯の圧下と前歯の牽引を行うことで、良好な側貌と緊密な咬合を獲得しました。





















